Heute geht es um ein wichtiges Neurologie-Weiterbildungsthema, aber auch um eine wichtige medizinethische Frage, nämlich den Hirntod. Unmittelbar mit dem Thema Hirntod ist das Thema Organspende verbunden. Bevor wir also über Hirntod reden, reden wir kurz über Organspende.
Hirntod und Organspende
Etwa 8.700 Patienten benötigen in Deutschland derzeit ein Spenderorgan (Link), gut 933 Organspender gab es 2021 in Deutschland.

Diesen 933 Organspendern konnten im letzten Jahr 2.905 Organe entnommen und transplantiert werden.

Da ist also noch deutlich Luft nach oben, wir können in Deutschland seit Jahren unseren Bedarf an Spenderorganen nicht selber decken. Grundvoraussetzung für die allermeisten Organtransplantationen (Ausnahme sind Lebendspenden bei Nieren und manchmal Lebersegmenten) ist die Feststellung des Hirntodes des potentiellen Organspenders. Um das Thema ranken sich viele Mythen, Missverständnisse, Ängste und im ärztlichen Bereich durchaus auch Unsicherheiten. Und dann hat auch noch zu allem Überfluss ECMO_doc diesen Thread vor einigen Tagen gepostet, höchste Zeit also sich dem Thema zu widmen:
Irreversibler Hirnfunktionsausfall (IHA)
Die Sache mit dem Namen
Der Hirntod heißt gar nicht mehr Hirntod, schon seit ein paar Jahren nicht mehr, sondern irreversibler Hirnfunktionsausfall, abgekürzt IHA. Dieser Begriff ist zwar etwas umständlicher, beschreibt aber das entscheidende Detail nämlich die Irreversibilität des Hirnfunktionsausfalls besser, berücksichtigt, dass beim IHA nicht zwingend das ganze Gehirn und jede einzelne Hirnzelle abgestorben sein muss, aber das Gesamtorgan Gehirn so geschädigt ist, dass es seinen Funktionen nicht mehr nachkommen kann und dass wir Menschen mit dem Begriff Tod optisch einen anderen Zustand verbinden. Darauf bezieht sich auch ECMO_doc in seinem Thread. Menschen mit einem IHA kann man nämlich rein optisch nicht von anderen intubierten, und beatmeten (und oft medikamentös kreislaufunterstützten) Intensivpatienten unterscheiden. Den Anblick, den wir mit einem Toten verbinden ist sehr geprägt vom Atem- und Kreislaufstillstand.
Im DSO Leitfaden für die Organspende (Link) ist der IHA wie folgt formal beschrieben:
Der irreversible Hirnfunktionsausfall wird definiert als Zustand der unumkehrbar erloschenen Gesamtfunktion des Gehirns (Großhirn, Kleinhirn und Hirnstamm). Dabei wird durch kontrollierte Beatmung und andere intensivmedizinische Maßnahmen die Herz- und Kreislauffunktion künstlich aufrechterhalten.
Immer wieder wird über das Konzept Hirntod gestritten und diskutiert, auch und insbesondere über vermeintliche und (deutlich weniger) tatsächliche Hirntod-Fehldiagnosen. Einen guten Überblick über die Kontroversen beim Thema IHA gibt der Wikipedia-Artikel Hirntod. Dabei stammen nahezu alle berichteten Fälle aus den USA und von Fällen, in denen die Hirntod-Diagnostik nicht komplett oder nicht richtig durchgeführt wurde. In Deutschland existiert ein sehr deutsches, formalistisches und strukturiertes Verfahren bei der IHA-Diagnostik, das aber zu einer sehr großen Sicherheit bei der Korrektheit der Diagnosestellung IHA führt.
Was führt zum Hirntod?
Ein irreversibler Hirnfunktionsausfall entsteht dann, wenn es zu einem Kreislaufstillstand im Gehirn kommt. Dies passiert in der Regel im Rahmen von Hirndruck. Der Schädel hat nur ein begrenztes Fassungsvolumen. Alle Dinge, die zu einer massiven Erhöhung des intrakraniellen Drucks führen, können einen IHA verursachen, da der Druck nicht nach außen entweichen kann. Intrakranielle Blutungen, vor allem Subarachnoidalblutungen, sind Hauptursache für die Entwicklung eines IHA.

Deutlich weniger Fälle entstehen bei schweren hypoxischen Hirnschäden nach Reanimation. Auch hier kommt es zu einer intrakraniellen Druckerhöhung durch die großflächigen Schlaganfälle durch eine Minderdurchblutung des Gehirns beim Kreislaufstillstand und der Reanimation.
Immer wenn dann der intrakranielle Druck den Perfusionsdruck, den der Kreislauf aufbauen kann und mit welchem arterielles Blut ins Gewebe gepresst wird übersteigt, resultieren noch mehr Minderdurchblutungen und noch mehr Schlaganfälle. Bis irgendwann der Druck so hoch ist, dass gar keine effektive Hirndurchblutung mehr stattfinden kann.
IHA-Diagnostik
Wer darf IHA-Diagnostik durchführen?
Jede Ärztin und jeder Arzt darf bei einem Patienten mit Herz-Kreislauf-Stillstand anhand der sicheren Todeszeichen den Tod feststellen und im Totenschein entsprechend dokumentieren. Beim IHA ist dies insofern anders, als dass spezielle Qualifikationsanforderungen bestehen. IHA-Feststellungen kann und darf man nie alleine machen, es bedarf immer zweier Fachärzte. Davon muss einer Facharzt für Neurologie oder Neurochirurgie sein (wobei in dem Maximalversorger, in dem ich zwischenzeitlich gearbeitet habe, IHA-Diagnostik stets durch die Neurologie und nicht durch die Neurochirurgie erfolgte). Der andere ist dann in der Regel Anästhesist, bzw. Internist mit der Zusatzbezeichung spezielle Intensivmedizin. Die beteiligten Ärzte dürfen nicht an der Entnahme, bzw. Transplantation der Organe beteiligt sein, wenn es zu einer Organspende kommt. Bei Kindern bis zum 14. Lebensjahr muss ein Facharzt für Pädiatrie beteiligt sein. Und man muss ausreichend qualifiziert sein. Wortwörtlich heißt es:
Dies beinhaltet unter Berücksichtigung des Lebensalters des Patienten insbesondere die Fähigkeit, zerebrale von spinalen und von peripher neurogenen Reaktionen zu unterscheiden,
die Erfahrung bei der Beurteilung von Medikamenteneffekten auf den klinischen und auf den neurophysiologischen Befund,
die Erfahrung bei der Beurteilung der Pharmakokinetik zentral dämpfender Medikamente unter Beachtung potentieller Interaktionen sowie der Körpertemperatur des Patienten,
die Erfahrung bei der Beurteilung der Auswirkungen von Vorerkrankungen, aktuellen Organschäden, metabolischen Störungen etc. auf die klinischen Symptome,
die Kenntnis der Indikationen und der Limitationen der ergänzenden Untersuchungen.
Richtlinie gemäß § 16 Abs. 1 S. 1 Nr. 1 TPG für die Regeln zur Feststellung des Todes nach § 3 Abs. 1 S. 1 Nr. 2 TPG und die Verfahrensregeln zur Feststellung des endgültigen, nicht behebbaren Ausfalls der Gesamtfunktion des Großhirns, des Kleinhirns und des Hirnstamms nach § 3 Abs. 2 Nr. 2 TPG, Vierte Fortschreibung. Deutsches Ärzteblatt. Published online 2015:31
Neurologische Weiterbildung und IHA-Diagnostik
Die Handlungskompetenz eine IHA-Diagnostik durchführen zu können, gehört zu den Inhalten der Weiterbildungsordnung für angehende Fachärztinnen und Fachärzte für Neurologie (Link WBO HH). Und dennoch ist es für viele Weiterbildungsassistenten gar nicht so leicht diese Handlungskompetenz zu erwerben, da es in 2021 in Deutschland gerade mal 933 IHA-Feststellungen gab und diese sich in erster Linie bei den Krankenhäusern mit großen Abteilungen für Neurochirurgie und Traumatologie ballen.
Die in jedem Krankenhaus vorkommenden schweren hypoxischen Hirnschäden nach Reanimation machen gerade mal ein knappes Viertel der IHA-Fälle aus. Zudem werden IHA-Diagnostiken auch weiterhin vor allem dann durchgeführt, wenn eine Organspende angestrebt wird. In den meisten anderen Fällen wird im klinischen Alltag – wenn es auf einen IHA hinausläuft – nämlich sonst in der Regel mit Familie und Angehörigen eine Therapielimitierung besprochen (siehe auch hier).
Durchführung der IHA-Diagnostik
Prämisse der IHA-Diagnostik ist, dass fehlerhafte IHA-Feststellungen ausgeschlossen sein müssen. Dafür ist die IHA-Diagnostik in Deutschland extrem stark formalisiert und strukturiert worden. Dadurch wirkt der ganze Prozess manchmal umständlich.
Durchgeführt wird die IHA-Diagnostik mit Hilfe eines Protokollbogens, welchen es in zwei Ausfertigungen (einmal für Kleinkinder unter 2 Jahren und einmal für alle ab dem 3. Lebensjahr gibt) (Link). Ich gehe hier auf den Bogen ab dem 3. Lebensjahr ein:


Ein- oder zwei Untersuchungsgänge?
Die IHA-Feststellung ist so strukturiert, dass zunächst immer ein klinischer Untersuchungsgang zur Feststellung des Hirnfunktionsausfalls durchgeführt wird. In einem zweiten Schritt wird dann die Irreversibilität des Hirnfunktionsausfalls bestätigt. Dies kann man entweder durch die Wiederholung der klinischen Untersuchung nach einem festgelegten zeitlichen Mindestabstand tun oder durch eine ergänzende apparative Untersuchung. Bei primär infratentorieller Hirnschädigung (z.B. schwere Kleinhirnblutung) ist immer ein obligates apparatives Verfahren erforderlich. Das hat den Hintergrund, dass bei infratentoriellen Hirnschädigungen ein Locked In-Syndrom entstehen kann, bei dem die Patienten bei Bewusstsein sind, aber durch die Schädigung von Hirnstamm und Pons nicht mit der Außenwelt kommunizieren kann. Bei kleinen Kindern herrschen noch einmal strengere Auflagen:

Im klinischen Alltag wird in der Regel wo immer möglich eine ergänzende apparative Diagnostik zur Vermeidung der Wartezeit durchgeführt. Dies geschieht aus mehreren Gründen:
- Um für die Angehörigen Klarheit zu schaffen. „Wir vermuten, dass Ihr … hirntot ist“ ist für die allermeisten Menschen sehr schwer auszuhalten.
- Da IHA-Diagnostik – wie erwähnt – vor allem bei angestrebter Organspende durchgeführt wird und IHA-Patienten nicht unbedingt kreislaufstabil sind, um eine erfolgreiche Organspende realisieren zu können.
- Ganz banal aus Platz- und Kapazitätsgründen.
Der Protokollbogen
Die IHA-Diagnostik wird anhand des Protokollbogens durchgeführt, den ich hier Schritt für Schritt erläutern möchte.

Die Sache mit der Nummerierung
Erster Stolperstein: Jeder beteiligte Arzt füllt einen Protokollbogen aus, der durchnummeriert wird. Beim ersten Untersuchungsgang gibt es also Protokollbogen 1 und 2. Macht man einen zweiten Untersuchungsgang, dann braucht man auch noch Protokollbogen 3 und 4.
Patientenidentifizierung, Klinik und Untersucher-Daten
Diese Dinge sind eigentlich selbsterklärend. Es gelten die selben Vorraussetzungen wie beim Ausfüllen des Totenscheins. Im Zweifelsfall vergleicht man noch mal die Patientendaten mit der Versichertenkarte, dem Personalausweis usw. damit man den Patienten zweifelsfrei identifizieren kann.
1. Vorraussetzungen
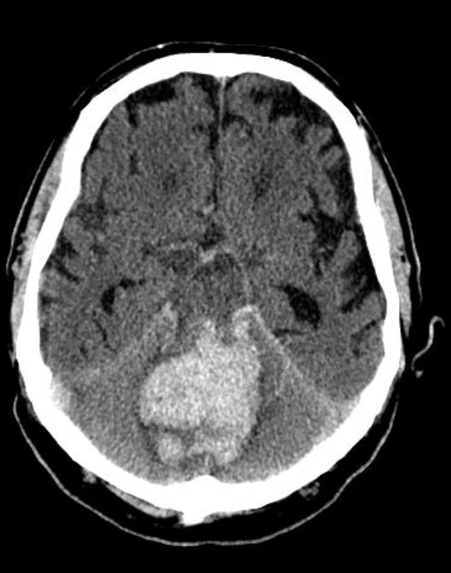
In die erste Zeile trägt man die Diagnose ein. Dann muss man sich entscheiden, ob es sich um eine primäre Hirnschädigung (z.B. Blutung) handelt und ob diese supra- oder infratentoriell lokalisiert ist oder ob eine sekundäre (z.B. hypoxischer Hirnschaden nach Reanimation) Hirnschädigung vorliegt. Zur besseren Illustration hier noch mal die drei Klassiker der zum IHA führenden Diagnosen:



Der nächste Schritt ist, sich gemeinsam die Gewissheit zu verschaffen, dass der Patient nicht intoxikiert ist, keine dämpfende Medikamente erhalten hat, die noch in wirksamer Konzentration im Körper vorhanden sein könnten, der Patient nicht muskelrelaxiert ist, nicht hypotherm, im metabolischen oder endokrinen Koma und nicht im Kreislaufschock ist. Zudem trägt man den systolischen Blutdruck und die Temperatur des Patienten ein. Diese Dinge bedürfen in der Regel eine gemeinsame Durchsicht der Patientenkurve oder des PDMS, der laufenden Perfusoren und die Überprüfung der Vitalparameter.
2. Klinische Symptome des Ausfalls der Hirnfunktion
Jetzt kommt der originär neurologische Teil der Untersuchung. Grob muss man sich die Systematik dahinter als Nicht-Neurologe wie folgt vorstellen: Bedingung für die IHA-Diagnostik ist ein komatöser Patient, bei dem alle Hirnstammreflexe als relativ stabile und ischämieresistente Funktionen ausgefallen sind. Man arbeitet sich von oben nach unten durch den Hirnstamm vor.
Das bedeutet im Einzelnen: Überprüfen, ob der Patient komatös ist. Pupillen und Lichtreaktion beurteilen (und dokumentieren, wenn das nicht geht, z.B. bei schweren Augenverletzungen, Glasauge, Katarakt-OP usw.). Vestibulo-okulären-Reflex (Puppenkopf-Phänomen) beurteilen, dabei Tubus nicht dekonektieren und nicht über die beiden Kästchen (rechts/links) zum Ankreuzen wundern (ja, eines würde reichen). Kornealreflex überprüfen. Schmerzreiz im Gesicht setzen (z.B. Nasenscheidewand) und Überprüfen, ob es zu einer Herzfrequenzzunahme oder einem Blutdruckanstieg kommt. Pharyngeal- und Trachealreflex überprüfen, dazu am Tubus rütteln und tief endotracheal absaugen und auf Hustenreiz achten.
Und dann kommt der aufwändigste Teil des klinischen Untersuchungsganges. Der Apnoe-Test. Hierzu muss man wissen, dass bei Lungengesunden der Anstieg von CO2 im Blut der stärkste Atemantrieb ist. Was man also macht ist, dass man die Beatmung unterbricht, daraufhin steigt der CO2-Spiegel im Blut kontinuierlich an. Gefordert wird ein Anstieg des arteriellen pCO2 von 35-45 mmHg auf über 60 mmHg (2. Stolperstein: temperaturkorrigiert). Um eine schnelle Sauerstoffentsättigung und damit einen Kreislaufeinbruch zu vermeiden muss der Patient in der Regel präoxygeniert werden. Beim eigentlichen Apnoe-Test wird das Dekonektieren vom Beatmungsgerät immer mehr verlassen und meistens das für die Patienten weniger stressbehaftete Verfahren der apnoischen Oxygenation gewählt. Dies kann man entweder – wenn man doch dekonektiert – durch Sauerstoff-Gabe direkt in den Tubus oder durch Einstellen des Beatmungsgerätes auf CPAP-Modus, und Hochstellen des Triggers auf maximale Unempfindlichkeit erreichen. Dann wird meistens alle 30 Sekunden ein maschineller Atemzug erfolgen, in der Zwischenzeit aber nicht. Aufgabe der Untersucher ist es, auf spontane Atemexkursionen zu achten und den richtigen Zeitpunkt für BGA-Kontrollen (die ja immer eine gewisse Zeit brauchen, bis das Ergebnis vorliegt) zu wählen.
Es gibt zum klinischen Untersuchungsgang – aber auch zu den apparativen Verfahren – viele Anmerkungen und Konkretisierungen für den jeweiligen Einzelfall, die man in der unten verlinkten Richtlinie nachlesen kann.
3. Stolperstein: Die bis hierhin dokumentierten Befunde müssen einmal direkt über dem schwarzen Strich per Unterschrift bestätigt werden, direkt darunter aber mit zusätzlicher Uhrzeit-Angabe und erneuter Unterschrift quittiert werden, dass man sich bewusst ist, dass es sich hierbei um den ersten Untersuchungsgang gehandelt hat und man einen zweiten Untersuchungsgang, bzw. apparative Verfahren ergänzen wird.
Seite 2 beginnt wieder mit dem Ankreuzen der richtigen Protokollbogen-Nummer und mit den Patientendaten:

3. Irreversibilitätsnachweis
Hier geht es darum zu bestätigen, dass der auf der ersten Seite dokumentierte Hirnfunktionsausfall irreversibel ist. Das kann man entweder mit einem zweiten Untersuchungsgang machen oder mit ergänzenden apparativen Untersuchungsverfahren.
Entscheidet man sich für einen zweiten Untersuchungsgang, so muss man alle Feststellungen und Untersuchungen auf Seite 1 des Protokollbogens inklusive Apnoe-Test noch mal wiederholen und den Protokollbogen bis oberhalb der schwarzen Linie vor „Bei den hier dokumentierten Feststellungen …“ erneut ausfüllen. Diese zusätzlichen Protokollbögen werden mit 3 und 4 nummeriert.
Auf Protokollbogen 1 und 2 (4. Stolperstein) dokumentiert man dann bei 3.1 die Durchführung des zweiten Untersuchungsganges.
Wird ein apparatives Verfahren ergänzt, so greift 3.2. Hier spielen im klinischen Alltag das EEG, die CT-Angiographie und die Doppler-, bzw. Duplexsonographie die entscheidende Rolle, die anderen Untersuchungsverfahren kommen praktisch nicht (mehr) in diesem Kontext vor.
Beim EEG ist die korrekte Durchführung entsprechend den in der Richtlinie hinterlegten Bedingungen und eine Befundung, in der die wesentlichen Punkte erwähnt werden, entscheidend. Da die meisten EEG-Befunder eh Befundvorlagen benutzen, kann man sich auch eine IHA-Vorlage erstellen, die in etwa so lauten könnte:
Befund
In dem EEG nach den Richtlinien der Bundesärztekammer über xx Minuten von xx.xx Uhr bis xx.xx Uhr lässt sich auch bei maximal sensitiven Filtereinstellungen keine hirneigene elektrische Aktivität ableiten. Es finden sich lediglich einzelne EKG- und Elektrodenartefakte.
Beurteilung
EEG nach den Richtlinien der Bundesärztekammer über xx Minuten vereinbar mit einem irreversiblen Ausfall aller Hirnfunktionen (IHA).
Ort, xx.xx.20xx, xx:xx Uhr
Unterschrift



Wichtig ist die Befund-Uhrzeit (5. Stolperstein) und dass wirklich mindestens 30 Minuten abgeleitet wurden.
Bei der Doppler-, bzw. Duplexsonographie ist entscheidend, dass das Verfahren zwei Mal im Abstand von mindestens 30 Minuten angewendet werden muss. Belegt werden soll ein zerebraler Kreislaufstillstand, der sich entweder durch biphasische Strömungssignale (mit gleichem Ein-, bzw. Ausstrom) oder sogenannte frühsystolische Spitzen (kleinen systolischen Flusssignalen unter 50 cm/s und unter 200 ms Dauer ohne weiteren detektierbaren Fluss) an den Hirnbasisarterien zeigt. Extrakraniell finden sich meistens hochpulsatile Widerstandssignale, da ja effektiv kein Blut mehr ins Gehirn fließt.
Auch hier muss der Befunder auf die Angabe einer Untersuchungsuhrzeit (für beide Untersuchungsgänge) und auf eine Befunduhrzeit achten.
Das selbe gilt für das radiologische Pendant, die CT-Angiographie.
6. Stolperstein: In die Namenszeile bei 3.2 muss der Name des befundenden Arztes der Zusatzuntersuchung eingetragen werden, zudem das Befund-Datum und die Befund-Uhrzeit (deswegen braucht man die auf dem Befund, den man dem Protokoll beilegt).
4. Feststellung des Todes
7. Stolperstein: Man bestätigt, dass sein Protokoll mit den anderen Protokollen übereinstimmt. Das bedeutet, wenn man zwei Protokolle hat (da eine apparative Zusatzuntersuchung durchgeführt wurde) trägt der Protokollant mit dem Protokoll Nr. 1 hier eine 2 ein (da Protokoll 1 mit Protokoll 2 übereinstimmt) und Protokollant Nr. 2 eine 1. Hat man zwei Untersuchungsgänge durchgeführt muss hier bei Protokollbogen 1 „2, 3, 4“ stehen und bei Protokollbogen 2 „1, 3, 4“.
Datum und Uhrzeit die man hier einträgt sind der offizielle Todeszeitpunkt, die auch auf dem Totenschein genauso anzugeben sind (nicht wann die Beatmung beendet wurde oder der Kreislaufstillstand eingetreten ist). Ab diesem dokumentierten Zeitpunkt gilt der Patient als verstorben, mit allen juristischen Implikationen. Findet keine Organspende statt, so ist die Intensivtherapie umgehend zu beenden.
Protokoll 1 und 2 werden abschließend gegenseitig unterschrieben (3 und 4 nicht, diese sind ja nur Zusatz-Befunddokumentation).
Klitzekleines Fazit
Ich habe das mit Absicht hier so detailliert vorgestellt, für alle angehenden Neurologinnen und Neurologen als „Anleitung“ und für alle interessierten Laien um falsche Vorstellungen, Vorurteile und ggfs. Befürchtungen auszuräumen.
Es gibt unglaublich viele „was ist, wenn“-Situationen, auf die die Richtlinie überraschend oft eine konkrete Antwort liefert. Und wenn man sich ein wenig intensiver mit dem Thema beschäftigen möchte, kann man sich dem Thema Spinalisationsphänomene widmen (siehe Artikel unten, leider kein open access, aber aufschlussreiche Videos).
Und noch was: Wenn ihr ärztlich tätig seid, sucht euch ein kleines Team zusammen, dass die IHA-Diagnostik regelhaft zusammen macht. Wenn man ein bisschen eingespielt ist und sich die Zeit nimmt, die man dafür braucht, kann man sogar ein wenig Gefallen an IHA-Diagnostik gewinnen. Ich mache es tatsächlich sogar recht gerne. Und man tut – wenn die IHA-Diagnostik zur Organspende führt – auch was richtig Gutes.
Wo man weiterlesen kann
Richtlinie gemäß § 16 Abs. 1 S. 1 Nr. 1 TPG für die Regeln zur Feststellung des Todes nach § 3 Abs. 1 S. 1 Nr. 2 TPG und die Verfahrensregeln zur Feststellung des endgültigen, nicht behebbaren Ausfalls der Gesamtfunktion des Großhirns, des Kleinhirns und des Hirnstamms nach § 3 Abs. 2 Nr. 2 TPG, Vierte Fortschreibung. Deutsches Ärzteblatt. Published online 2015:31.
Förderreuther, S. (2016). Die neue Richtlinie zur Hirntoddiagnostik. InFo Neurologie & Psychiatrie, 18(1), 36–41. https://doi.org/10.1007/s15005-016-1130-0
Janzen, R. W. C., Lambeck, J., Niesen, W., & Erbguth, F. (2021). Irreversibler Hirnfunktionsausfall – Teil 2. Spinalisationsphänomene. iDer Nervenarzt, 92(2), 169–180. https://doi.org/10.1007/s00115-020-01048-y
Hinterlasse einen Kommentar