Unter dem Begriff Schädel-Hirn-Trauma (SHT) werden ganz verschiedene traumatische Verletzungen des Kopfes und des Gehirns zusammengefasst. Wenn es auch streckenweise wenig Gemeinsamkeiten gibt, einfach weil der Schweregrad und die Verletzungsmuster variieren, gibt es auch Gemeinsamkeiten, nämlich vor allem die Pathophysiologie, die hinter der oft langsamen und oft auch inkompletten Erholung nach einem Schädel-Hirn-Trauma steckt.
Dabei gilt – wie so oft in der Medizin – häufiges ist häufig und so macht das leichte Schädel-Hirn-Trauma den allergrößten Teil aller Schädel-Hirn-Traumen aus. Um das leichte Schädel-Hirn-Trauma soll es dementsprechend hier schwerpunktmäßig gehen, mit einem kleinen Exkurs zu den häufigeren Verletzungsmustern bei schwereren Schädel-Hirn-Traumen und vor allem zu den bildgebenden Befunden hierbei.
Die Epidemiologie des Schädel-Hirn-Traumas
Schädel-Hirn-Traumen sind unglaublich häufig, alleine in Deutschland wurden 2021 ca. 350.000 Krankenhausbehandlungen auf Grund eines Schädel-Hirn-Traumas durchgeführt, die jährliche Inzidenz wird auf 300/100.000 geschätzt. Zuletzt sind (allein für Deutschland) jährlichen Behandlungskosten von ca. 2,5 Milliarden Euro angefallen. Die übrige Epidemiologie des Schädel-Hirn-Traumas kann man gut in drei Grafiken zusammenfassen.



Leichte Schädel-Hirn-Traumen machen 94% der Fälle aus, moderate 5% und schwere gerade mal 1%, betroffen sind betont junge Männer und ältere Menschen, die Mortalität ist vor allem im höheren Lebensalter statistisch signifikant erhöht.
Schädel-Hirn-Trauma und Glasgow Coma Scale
Der Schweregrad des Schädel-Hirn-Traumas wird anhand der Bewusstseinslage unmittelbar nach dem Unfall eingeteilt, normiert mit der Glasgow Coma Scale. Auf dieser kann man (ja bekanntermaßen) je nach Bewusstseinslage, sprachlicher und motorischer Antwort auf Aufforderungen 3-15 Punkte erzielen.

Hieraus resultiert dann die Einteilung in leichtes, moderates und schweres Schädel-Hirn-Trauma.
| Leichtes SHT | GCS 13-15 |
| Moderates SHT | GCS 9-12 |
| Schweres SHT | GCS 3-8 |
Problematisch an diesem Einteilungsmechanismus ist, dass die Zeit zwischen Trauma und erster Einschätzung variieren kann, eine passagere Bewusstlosigkeit so zum Beispiel gar nicht festgestellt wird. Zudem ergibt sich ein Problem bei Intoxikationen, die in einer schlechteren Bewusstseinslage – als eigentlich durch das Trauma erklärbar – resultieren.
Wer braucht eine Bildgebung und wer muss stationär überwacht werden?
Gerade weil der überwiegende Teil der Schädel-Hirn-Traumen leichte Schädel-Hirn-Traumen sind, stellt sich die Frage, bei welchen Patienten eine Bildgebung (in der Regel ein CCT, idealerweise mit Darstellung der Halswirbelsäule) und bei welchen Patienten eine stationäre Überwachung erfolgen sollte.
Die seit 2020 abgelaufene S2e Leitlinie Schädel-Hirn-Trauma im Erwachsenenalter der Deutschen Gesellschaft für Neurochirurgie empfiehlt eine CT-Bildgebung bei klinischem Verdacht auf Hirndruck oder traumatischen Hirnläsionen, im Einzelnen bei Bewusstseinsstörungen, anterogerader Amnesie, fokalen neurologischen Defiziten, wiederholtem Erbrechen und stattgehabten epileptischen Anfällen. Des Weiteren bei Zeichen einer Schädelfraktur (incl. penetrierende Traumen, Liquorrhoe), Hinweisen auf eine angeborene oder iatrogen bedingte Gerinnungsstörung (Antikoagulation) und in unklaren Fällen, insbesondere bei unklarer Anamnese des Unfallherganges, starken Kopfschmerzen, eingeschränkter klinischer Beurteilbarkeit auf Grund von Intoxikationen und Hinweisen auf ein Hochrasanztrauma.
Wie so oft ist das Ganze im englischen Sprachraum viel mehr operationalisiert. Hierbei sind zwei Klassifikationssysteme im Einsatz, die relativ komplexe Canadian CT Head Rule und die deutlich simpleren New Orleans Kriterien

Im Grunde besagen beide das selbe: Sind bestimmte Risikofaktoren erfüllt ist eine CT-Bildgebung indiziert. Beide Klassifikationssysteme sind hinsichtlich Sensitivität und Spezifität vergleichbar (Alzuhairy et al.), so dass wenig gegen den Einsatz der deutlich übersichtlicheren New Orleans Kriterien spricht.
Zur Indikation der stationären Überwachung sagt die Leitlinie im Grunde folgendes: Eine stationäre Überwachung ist dann sinnvoll, wenn eine Bewusstlosigkeit bestanden hat und eine sich erst im Verlauf entwickelnde Hirnblutung (vor allem Kontusionsblutungen) zu befürchten ist oder wenn die aus der Bildgebungs-Indikationsstellungen bekannten Risikofaktoren (ebenfalls für ein zweizeitiges Blutungsereignis) bestehen.
Häufige bildgebende Befunde schwererer Schädel-Hirn-Traumen
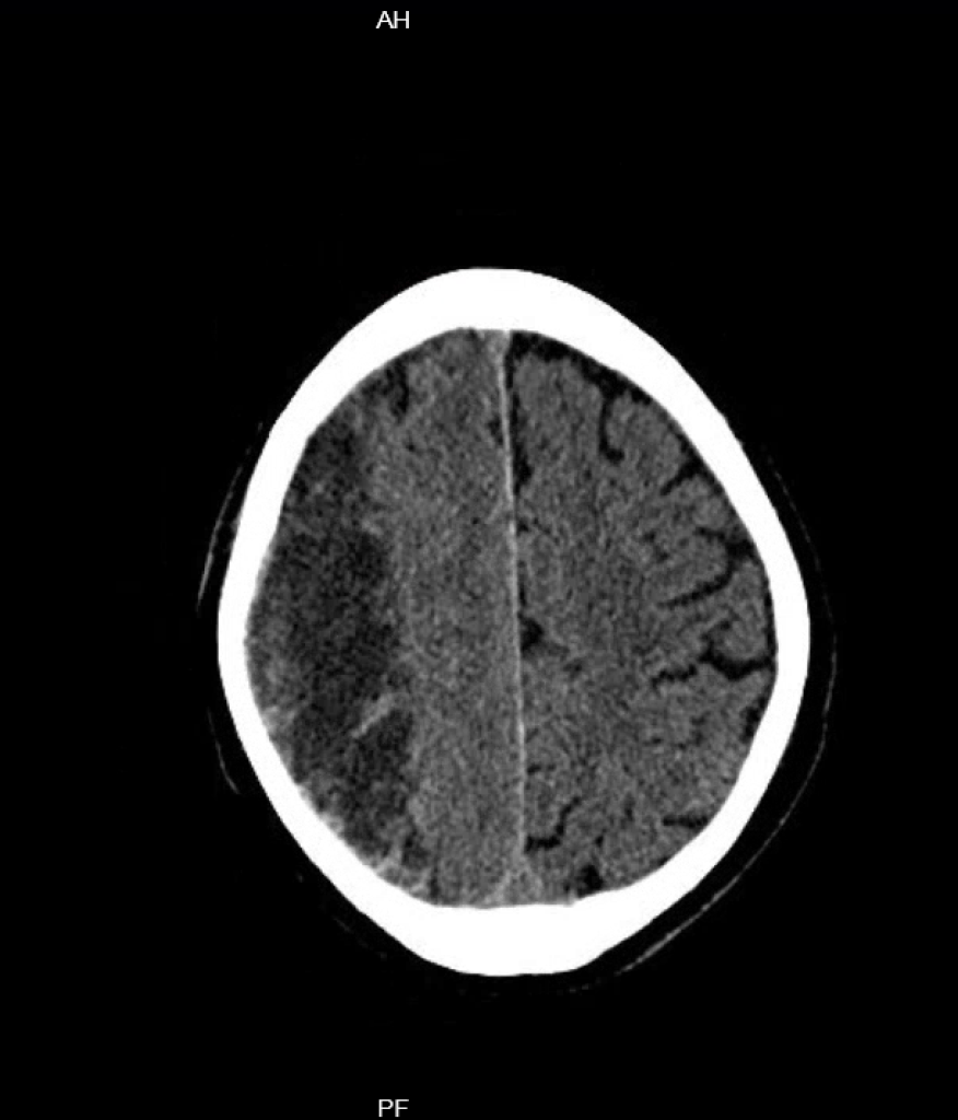
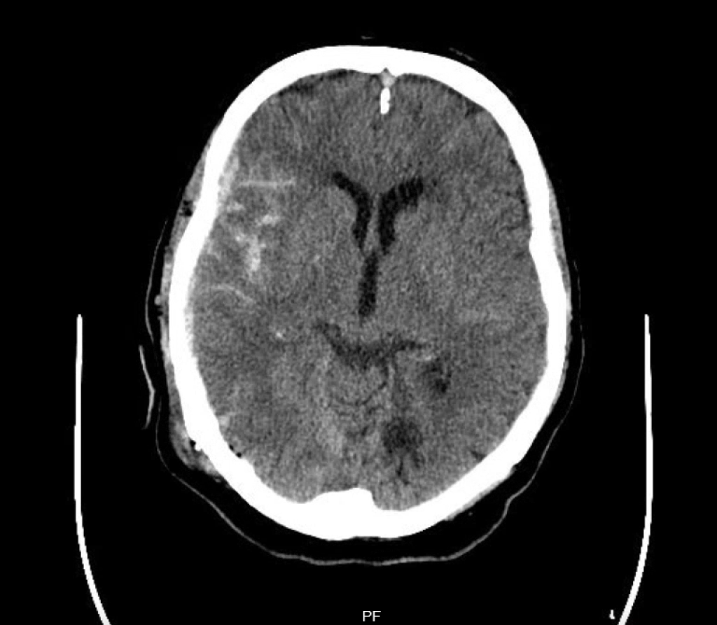
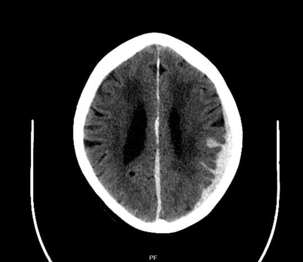
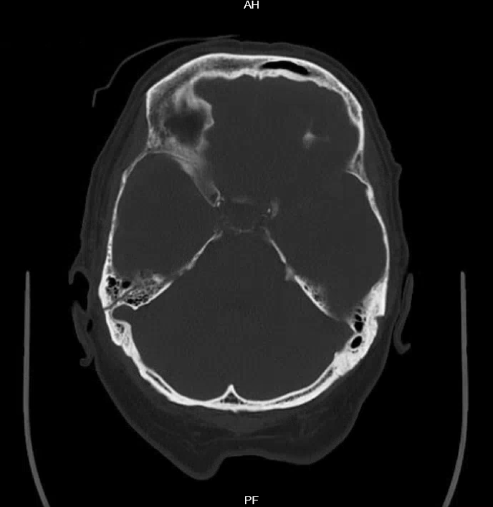
Was sieht man in der Bildgebung, wenn man denn etwas sieht? Das kommt stark auf den Unfallmechanismus an. Am häufigsten – auch nach Bagatelltraumen oder bei wiederholten Stürzen – finden sich Subduralhämatome (SDH).
Subduralhämatom
Subduralhämatome können chronisch im Rahmen einer Sickerblutung oder akut – dann oft bei bestehender Antikoagulation – durch den Einriss von Brückenvenen entstehen. Da das Gehirn langsame Druckänderungen und Masseverschiebungen viel besser toleriert als akute können chronische Subduralhämatome viel größere Ausdehnungen erreichen, bevor sie überhaupt Symptome verursachen.


Während es bei akuten Subduralhämatomen relativ klare OP-Indikationen für eine Bohrlochtrepanation gibt (Hämatomdurchmesser > 10 mm, Mittellinien-Verlagerung > 5 mm, GCS < 9 Punkte, GCS-Abfall um 2 Punkte, Anisocorie und Hirndruck > 20 mmHg), ist das bei chronischen Subduralhämatomen anders. Hier kommt es zu – sich oft im Verlauf auch selbst resorbierenden – Sickerblutungen, eine relative OP-Indikation besteht bei einem symptomatischen Subduralhämatom und einer bildmorphologischen Hirnparenchym-Kompression. Hier müssen aber immer Nutzen und OP-Risiko bei den oft hochaltrigen, multimorbiden und in der Regel hochgradig delirgefährdeten Patienten abgewogen werden, auch weil das Rezidivrisiko bei chronischen Subduralhämatomen mit ca. 30% sehr hoch ist. Mit der Embolisation der A. meningea media steht zudem – momentan (auch auf Grund der fehlenden aktuellen Leitlinie) nur in Studien durchführbare – interventionelle Behandlungsmöglichkeit zur Verfügung. Idee der Embolisation ist es, das oft sehr fragile Kapillargeflecht, was in die Brückenvenen mündet zu veröden.
Kontusionsblutungen
Kontusionsblutungen und traumatische Subarachnoidalblutungen (SAB) entstehen durch Einriss parenchymaler, bzw. subarachnoidaler Gefäße. Sie sind immer Ausdruck eines schwereren Schädel-Hirn-Traumas, die größeren Blutungen entstehen dabei typischerweise am contre coup, also kontralateral zur Traumaseite und -stelle, dem coup. Auch Kalotten- und Felsenbeinfrakturen kommen bei Kontusionsblutungen und traumatischen SAB häufiger vor als bei den oft im Rahmen von Bagatelltraumen entstehenden Subduralhämatomen.




Bei Kontusionsblutungen gibt es – wie bei den akuten Subduralhämatomen – relativ klare OP-Indikationen. Indiziert ist eine Hämatomentlastung wenn das Blutungsvolumen mehr als 50 Kubikzentimeter oder der intrakranielle Druck > 20 mmHg beträgt oder eine Mittellinien-Verlagerung > 5 mm oder eine GCS von 6 bis 8 besteht. Gerade große oder im Verlauf „aufblühende“ Kontusionsblutungen gehen mit einer schlechten Prognose einher.
Seltene Befunde: Epiduralhämatome und diffuses axonales Trauma
Praktisch nur bei schweren Schädelhirn-Traumen sieht man Epiduralhämatome (EDH) und das diffuse axonale Trauma (DAT). Entsprechend kann ich hier leider keine bildgebenden Befunde aus dem eigenen Fundus präsentieren. Wie schon bei den großen Kontusionsblutungen gilt, dass das Vorhandensein von Epiduralhämatomen oder eines diffusen axonalen Traumas mit einer schlechten Prognose einhergeht.
Die Prognose des leichten Schädel-Hirn-Traumas
So viel vorweg, die Prognose des leichten Schädel-Hirn-Traumas ist schlechter als man zunächst vermuten könnte. Das hat relativ viel mit der Pathophysiologie zu tun – die wie Eingangs erwähnt – für alle Schweregrade im Grunde genommen nämlich gleich ist.
Exkurs Pathophysiologie
Beim Schädel-Hirn-Trauma kommt es durch die Verletzung zu einem Endothelschaden, durch welchen Leukozyten mit ins Hirngewebe einwandern und dort zu einer Entzündungsreaktion mit Aktivierung von Mikroglia und reaktiven Astrozyten führen. Durch die Entzündungsreaktion mit inflammatorischen Zytokinen und Sauerstoffradikalen kommt es zu einer lokalen Gewebeschwellung. Auf zellulärer Ebene verstärkt sich der Gewebeschaden durch die bereits untergegangen Zellen noch einmal mehr, durch diese resultiert nämlich ein Überangebot an Glutamat im synaptischen Spalt. Die übermäßige Aktivierung von Glutamatrezeptoren führt zu einem massiven Einstrom von Kalzium, dieser wiederum zur Bildung freier Sauerstoffradikale und durch diese kommt es zu DNA-Schäden im Zellkern mit der Folge weiterer Zelluntergänge.
2022 wurde in JAMA die Studie von Madhok et al. veröffentlicht. In dieser multizentrischen prospektiven Kohortenstudie wurde das funktionelle Outcome nach sehr leichtem Schädel-Hirn-Trauma (GCS 15) zwei Wochen und sechs Monate nach dem Unfall untersucht. Eingeschlossen wurden knapp 1.000 Probanden.

Die Zahlen – mit denen das Paper auch nach außen kommuniziert wurden – klingen recht dramatisch. Danach hatten nach zwei Wochen nur 27% der Probanden sich vollständig erholt, nach sechs Monaten waren es 44%, während 73%, bzw. 56% weiterhin Symptome nach dem Unfall aufwiesen, die sie in ihrer Alltagsaktivität behinderten. Nun lohnt es sich – wie immer – aber doch sich die Studiendaten einmal genauer anzugucken, denn ganz so dramatisch wie es zunächst klingen mag, sind die Studienergebnisse dann doch nicht. Gemessen wurde das Outcome auf der erweiterten Glasgow Outcome-Skala (GOS-E), die 8-teilig für verschiedene Domänen die Teilhabefähigkeit abfragt. Dabei besagt GOS-E 8 eine vollständige Erholung, während GOS-E 7 ebenfalls ein gutes Outcome mit voller Teilhabefähigkeit – aber mit noch minimalen Restsymptomen – beschreibt. Ab GOS-E 6 besteht eine – wenn auch reduzierte – Arbeitsfähigkeit.

Schaut man sich die Studiendaten mit diesem Vorwissen noch mal an, so haben nach zwei Wochen 49% ein gutes Outcome (GOS-E 7+8) und weitere 21% erreichen (GOS-E 6), nach sechs Monaten haben 72% ein gutes Outcome und weitere 20% sind „noch arbeitsfähig“. Ein wirklich schlechtes Outcome findet man dementsprechend nach zwei Wochen „nur“ bei 30% und nach sechs Monaten bei 8%.
Allerdings – und das ist dann doch beachtlich – bedeutet 8% schlechtes Outcome nach sechs Monaten bezogen auf oben skizzierte epidemiologische Häufigkeiten des leichten Schädel-Hirn-Traumas doch ziemlich viele langfristig arbeitsunfähige und hilfsbedürftige Menschen. Die Daten nach zwei Wochen dürften hingegen eher die realistischen Rekonvaleszenzzeiten widerspiegeln.
Prädiktoren für ein schlechteres Outcome sind weibliches Geschlecht, psychiatrische Vorerkrankungen und niedriger Bildungsstand, bzw. sozioökonomischer Status und damit Faktoren die wir aus vielen anderen Studien auch als Risikofaktoren kennen. Zudem haben Überfall-Opfer und Menschen, die bei einem Unfall mit einem Auto verletzt wurden eine schlechtere Prognose. Ein eher „technischer“ Risikofaktor für ein schlechteres Outcome dürfte das Vorhandensein einer Antikoagulation sein, einfach weil das Patienten sind, die auch bei formal initialem leichten Schädel-Hirn-Trauma ein hohes Risiko für Blutungskomplikationen (siehe oben) haben. Klinische erkennbare – und teils behandelbare – Risikokonstellationen sind zudem initiale Bewusstlosigkeit, eine relevante anterogerade Amnesie, eine initiale Hypoxie (damit alles Zeichen dafür, dass das Trauma doch schwerer gewesen sein dürfte), Intoxikationen und niedrige Blutdruckwerte in der Notaufnahme. Auch die letzten beiden Punkte dürften eher „technische“ Risikofaktoren seien, die Intoxikationen prädestinieren wieder für Blutungskomplikationen, die Hypotension führt bei Hirndruckentwicklung zu einem schlechteren zerebralen Perfusionsdruck.
Ein kurzes Fazit
Was lohnt es sich zu merken?
- Schädel-Hirn-Traumen werden nach der initialen GCS in drei Schweregrade eingeteilt
- Die New Orleans Kriterien sind ein gutes und einfaches Tool um Patienten zu identifizieren, die eine CCT-Bildgebung auch nach leichtem Schädel-Hirn-Trauma benötigen
- Die häufigsten Blutungskomplikationen stellen chronische und akute Subduralhämatome dar
- Das Outcome des leichten Schädel-Hirn-Traumas ist schlechter, als man denken könnte
Wo man weiterlesen kann
Pinggera D, Geiger P, Thomé C. Schädel-Hirn-Trauma. Nervenarzt. 2023;94(10):960-972. doi:10.1007/s00115-023-01546-9 (open access)
S2e-Leitlinie Schädel-Hirn-Trauma im Erwachsenenalter, gültig bis 12/2020, https://register.awmf.org/de/leitlinien/detail/008-001
Madhok DY, Rodriguez RM, Barber J, et al. Outcomes in Patients With Mild Traumatic Brain Injury Without Acute Intracranial Traumatic Injury. JAMA Network Open. 2022;5(8):e2223245-e2223245. doi:10.1001/jamanetworkopen.2022.23245
Weitere Literatur
Alzuhairy AKA. Accuracy of Canadian CT Head Rule and New Orleans Criteria for Minor Head Trauma; a Systematic Review and Meta-Analysis. Arch Acad Emerg Med. 2020;8(1):e79.
Mühl-Benninghaus R. Middle meningeal artery embolization for treatment of chronic subdural hematoma. Radiologie. 2022;62(S1):17-21. doi:10.1007/s00117-022-01074-8
Ng SY, Lee AYW. Traumatic Brain Injuries: Pathophysiology and Potential Therapeutic Targets. Front Cell Neurosci. 2019;13:528. doi:10.3389/fncel.2019.00528
Kan P, Maragkos GA, Srivatsan A, et al. Middle Meningeal Artery Embolization for Chronic Subdural Hematoma: A Multi-Center Experience of 154 Consecutive Embolizations. Neurosurgery. 2021;88(2):268-277. doi:10.1093/neuros/nyaa379
Rickels E, Von Wild K, Wenzlaff P. Head injury in Germany: A population-based prospective study on epidemiology, causes, treatment and outcome of all degrees of head-injury severity in two distinct areas. Brain Injury. 2010;24(12):1491-1504. doi:10.3109/02699052.2010.498006
Wilson L, Boase K, Nelson LD, et al. A Manual for the Glasgow Outcome Scale-Extended Interview. Journal of Neurotrauma. 2021;38(17):2435-2446. doi:10.1089/neu.2020.7527
Hinterlasse einen Kommentar