Abonniere den Blog und bleibe stets auf dem laufenden
-

Wie das mit festen Gewissheiten so ist Ich hab ja große Freude daran, wenn sich fest etablierte medizinische Gewissheiten auf einmal relativieren. Ein bisschen doof ist es, wenn es die eigene Überzeugung ist, die auf einmal in Frage steht, aber nun gut, das passiert. Paracetamol hatte ich in die Schublade: „Kann man machen, wenn man…
-

Angetriggert von der Diskussion um p-tau217 als neuer Blut-Biomarker der Alzheimer-Krankheit, meinem schlechten Gewissen und den guten Vorsätzen für den Blog dieses Jahr allen Widrigkeiten zum Trotz kommt hier eine kleine Reihe zur Alzheimer-Krankheit. Grundlage für alles weitere ist dieser – gar nicht so schlecht gealterte – Blogbeitrag von 2021: In dem Artikel geht es…
-

Während in den (sozialen) Medien wieder vermehrt negative Berichte über die ePA 3.x, also die ePA für alle zu lesen sind, fand vom 04. bis 05. Juni in Leipzig der erste TI-Summit (Link) statt. Dort wurde sehr intensiv über die verschiedenen Komponenten der Telematik-Infrastruktur diskutiert, darüber wie sich aus diesen Anwendungsfelder (use cases) und Synergieeffekte…
-

Im Zuge meiner Schmerzmedizin-Prüfung hatte ich zu Beginn des Blogs im August 2020 einen Beitrag zum komplexen regionalen Schmerzsyndrom (CRPS) geschrieben (Link). Knapp fünf Jahre sind aber eine lange Zeit, so dass ich den Text angesichts eines Vortrags zum CRPS, welchen ich halten durfte, noch einmal überarbeitet habe. CRPS: Was ist das eigentlich ? Versucht…
-

Das Vorgeplänkel Bei einer intrazerebralen Blutung (ICB) stellt sich die Frage, wie stark der arterielle Blutdruck gesenkt werden sollte. Sollte er unter 180 mmHg systolisch bleiben oder – was oft eine aggressive medikamentöse Intervention erfordert – unter 140 mmHg, um die Größenzunahme der Blutung zu minimieren und ein besseres Outcome zu ermöglichen? Diese Frage wird…
-

Das Vorgeplänkel Andexanet alfa (Ondexxya) wurde 2019 als Antidot zur Behandlung lebensbedrohlicher Blutungen unter den direkten oralen Antikoagulanzien Apixaban (Eliquis) und Rivaroxaban (Xarelto) (beides Faktor Xa-Antagonisten) zugelassen. Während es mit Idarucizumab (Praxbind) schon seit 2015 ein hochwirksames spezifisches Gegenmittel für Dabigatran (Pradaxa) gab, nach dessen Gabe man auch Notfalleingriffe und auch Thrombolysen durchführen kann, klaffte…
-

Die Zahl der Notfallbehandlungen in Notaufnahmen nimmt in Deutschland – wie in anderen Ländern auch – seit Jahren kontinuierlich zu. Nach Angaben der Regierungskommission für eine moderne und bedarfsgerechte Krankenhausversorgung (Link) wurden 2009 noch 24,9 Millionen Notfallbehandlungen durchgeführt, 2019 waren es schon 27,8 Millionen Behandlungen in Notaufnahmen und Notfallpraxen, ein Plus von 12% innerhalb von…
-

Vorwort Ja, wir sind keine Radiologen. Ja, in der heutigen Zeit, in der es immer mehr um medikolegale Konsequenzen unseres Tuns geht, sollten wir uns nicht überschätzen und selbst radiologische Befunde erheben ohne die formale Qualifikation dafür zu haben. Ja, auch fachärztliche radiologische Befunde sind oft falsch (oder mindestens diskutabel). Ja, ich erwarte von allen…
-

Ein weiterer Klassiker unter den BMJ-Weihnachtspaper ist die Fallschirm-Metaanalyse von Smith et al. aus dem Jahr 2003. Knapp 20 Jahre vor dem Ausbruch der Corona-Pandemie zeigten die Autoren einen fast schon prophetischen Blick für das kommende Paper-Bullshit-Bingo. Oder waren die Probleme wissenschaftlicher Veröffentlichungen im Jahr 2003 und zwischen 2020 und 2023 am Ende doch recht…
-

Ein Klassiker der Weihnachtsausgaben des BMJ ist die australische Teelöffel-Beobachtungsstudie: Referenz: Lim MSC, Hellard ME, Aitken CK. The Case of the Disappearing Teaspoons: A Longitudinal Cohort Study on the Displacement of Teaspoons in an Australian Research Institute. BMJ. 2005;331(7531):1498-1500. Worum geht es? An einem australischen Gesundheits-Forschungs-Institut fanden die Autoren im Januar 2004 in ihrer Teeküche…
-

Fokus auf L-Dopa Als ich mit dem bloggen begonnen habe, hatte ich in einer Miniserie eine ganze Reihe von Beiträgen zu verschiedenen Aspekten der Parkinson-Krankheit verfasst. Hier sind Artikel u.a. zum Therapiebeginn bei älteren und jüngeren Patienten entstanden. Doch wie geht es weiter, wenn die Honeymoon-Phase vorbei ist, wenn zunehmend motorische und nicht-motorische Komplikationen der…
-

Unter dem Begriff Schädel-Hirn-Trauma (SHT) werden ganz verschiedene traumatische Verletzungen des Kopfes und des Gehirns zusammengefasst. Wenn es auch streckenweise wenig Gemeinsamkeiten gibt, einfach weil der Schweregrad und die Verletzungsmuster variieren, gibt es auch Gemeinsamkeiten, nämlich vor allem die Pathophysiologie, die hinter der oft langsamen und oft auch inkompletten Erholung nach einem Schädel-Hirn-Trauma steckt. Dabei…
-

Bei wenig Erkrankungen gibt es so viel Hörensagen, weit verbreitete Unsicherheiten aber auch medizinischen Bullshit und Scharlatanerie wie bei der Neuroborreliose. Eigentlich ist das Thema recht einfach, aber … Borreliose ohne Neuro: Die Lyme-Borreliose Das Bakterium Borrelia burgdorferi, der Erreger der Lyme-Borreliose, wird durch Zeckenstiche übertragen. Borrelien sind Spirochäten, genau wie der Erreger der Syphilis.…
-

Was ist passiert Ende Juni hat die Regierungskommission für eine moderne und bedarfsgerechte Krankenhausversorgung eine neue Stellungnahme vorlegt. In dieser geht es um eine Potenzialanalyse der geplanten Krankenhausreform anhand exemplarischer Erkrankungen (Tumorerkrankungen, Schlaganfälle und Endoprothetik) (Direkt-Link zur 5. Stellungnahme (pdf)). Kurz zusammengefasst postuliert die Regierungskommission: Aus der Datenanalyse wird deutlich, dass bei Krebs durch eine…
-

Am 10.07. haben sich die Gesundheitsminister der Bundesländer und der Bundesgesundheitsminister auf ein Eckpunktepapier zur Reform der Krankenhausfinanzierung geeinigt (Link). Die beteiligten Protagonisten waren voll des Lobes (in erster Linie für sich selbst, Link). Auf was aber haben sich die Minister geeinigt und was ist noch vom Konzept der Regierungskommission – welches ich seinerzeit hier…
-

Eine US-Wissenschaftsjournalistin und Pulitzer-Preisträgerin mit mehr als 200.000 Followern auf Twitter teasert im Mai 2023 eine Pressemitteilung der East Carolina University (Link) mit einer im Juni 2022 veröffentlichten dänischen retrospektiven Kohortenstudie an, nach der nach COVID-Infektionen ein erhöhtes relatives Risiko für Alzheimer-Erkrankungen und Parkinson-Syndrome besteht. Dabei ist in dem Teaser-Beitrag (Link) die Studie nicht mal…
-

Worum geht es? Relativ prominent durch Stefan Huster wurde auf Twitter ein Beitrag auf der Webseite gesundheitsrecht.blog verbreitet In dem Blogbeitrag erörtern die Autorinnen Frauke Brosius-Gersdorf und Nicole Friedlein Möglichkeiten, wie man nicht gegen COVID-19 Geimpfte an den Behandlungskosten einer etwaigen medizinischen Behandlung wegen COVID-19 oder COVID-19-Krankheitsfolgen beteiligen könnte. Was steht drin? Erst einmal, der…
-

Es kommt eine 35-jährige Patientin mit wiederkehrenden einseitigen, pulsierenden Kopfschmerzen zu Ihnen. Die Kommunikation ist bei einer Sprachbarriere erschwert, es bestehen in der Anamnese – welche nur mit Dolmetscher möglich ist – Hinweise auf psychosomatische Beschwerden. Braucht die Patientin eine kraniale Bildgebung? Mit dieser Fallvignette hat mich Heiner Averbeck (Link Twitter) mit der Nase auf…
-

Am 06.12. hat die Regierungskommission für eine moderne und bedarfsgerechte Krankenhausversorgung – wie sie offiziell heißt – ihre Pläne für eine Reform der Krankenhausfinanzierung in Deutschland auf der Bundespressekonferenz vorgestellt. Es ist relativ wahrscheinlich, dass die Vorschläge der Kommission zumindest ähnlich wie in der vorgeschlagenen Art und Weise umgesetzt werden, so dass es sich lohnt,…
-

Neuer Anlauf beim Zurück zum Neurologie-Content mit einem Brot-und-Butter-Neurologie-Thema: Der erste epileptische Anfall im Erwachsenenalter. Die dazugehörige DGN-Leitlinie ist abgelaufen und wird derzeit überarbeitet, parallel ist im vergangenen Jahr ist die SANAD II-Studie erschienen, mit der sich relevante Änderungen bei der First-Line-Medikation ergeben haben. Also muss ein Blogbeitrag her. Epilepsie, unprovozierte und akut-symptomatische Anfälle Epileptische…
-

Ich habe die heutige Pressekonferenz zum Beginn der „Ich schütze mich“-Kampagne erst mit Absicht nicht und dann doch komplett auf YouTube geschaut und hier gibt es in den Aussagen von Karl Lauterbach sehr viele Dinge, die man so meines Erachtens nicht stehen lassen kann, so dass hier einige Anmerkungen kommen. Vorweg Den Auftritt von Margarete…
-

Im Gesundheitswesen brodelt es. Die Diskussion zum Thema Versorgungsrealität und Personalmangel ist extrem spannend, weil immer wieder sehr kluge Dinge geschrieben werden, bei Twitter z.B. unter dem Hashtag #Medizinbrennt. Ich möchte ein paar Gedanken, die mich in den letzten Monaten dazu umgetrieben haben aufschreiben und weil das die Twitter-Thread-Länge sprengt, mach ich das hier, freu…
-

Das ist ein sehr schönes Cover eines sehr guten Deutschpunk-Songs und auch wenn es vielleicht eine komische Einleitung für einen Blogbeitrag ist, sehr im Thema um das es heute geht. Zwei Patienten Ein Mitte 40-jähriger Mann wird stationär unter dem Verdacht einer Polyneuropathie aufgenommen. Klinisch-neurologisch fallen eine Augenbewegungsstörung, ein breitaasig-unsichereres Gangbild und eine ausgeprägte Kurzzeitgedächtnisstörung…
-

Heute geht es um ein wichtiges Neurologie-Weiterbildungsthema, aber auch um eine wichtige medizinethische Frage, nämlich den Hirntod. Unmittelbar mit dem Thema Hirntod ist das Thema Organspende verbunden. Bevor wir also über Hirntod reden, reden wir kurz über Organspende. Hirntod und Organspende Etwa 8.700 Patienten benötigen in Deutschland derzeit ein Spenderorgan (Link), gut 933 Organspender gab…
-

Weiter geht’s: Widmen wir uns einem Paper zum Thema Long COVID, bzw. Post COVID (die Bezeichnung setzt sich immer mehr durch, diese komische Unterscheidung in Long und Post COVID irgendwie nicht). Hier gibt es ja sehr, sehr, sehr viele Studien, sehr sehr sehr viele davon mit deutlichen methodischen Mängeln von extrem gravierend (keine Kontrollgruppe, kein…
-

Teil 3 der kleinen Reihe mit schönen, nach meinem Beurteilungsvermögen gut gemachten, Papern zum Thema COIVD-19. Teil 1, in dem es um die Schutzwirkung der Impfung vor COVID-Folgeerkrankungen geht, findet ihr hier, Teil 2 (neuropsychiatrische Folgeerkrankungen von schweren COVID-Verläufen) hier. Nukular, das Wort heißt nukular Heute soll es um nuklearmedizinische Bildgebung gehen. Hier haben ja…
-

Beim letzten Mal ging es um die Schutzwirkung der COVID-Impfung vor Folgeerkrankungen (Link), dabei blieb aber die Frage nach einem Vergleich mit anderen Erkrankungen offen. Neurologische und psychiatrische COVID-Erkrankungsfolgen im Vergleich Darum soll es heute gehen, auch hierzu gibt es zwei aktuelle, interessante Paper, eins aus Dänemark und eins aus Großbritannien, beide im Mai 2022…
-

In den letzten Wochen sind – in meiner Wahrnehmung – eine ganze Reihe gut gemachter Studien und Review-Paper zum Thema COVID-19 veröffentlicht worden, die verschiedene – in den letzten 2,5 Jahren diskutierte – Punkte endlich besser einzuordnen helfen. Ich werde mal in den nächsten Tagen einige davon hier vorstellen. Warum der Slogan „Impfen schützt“ richtig…
-

Mir ist die Diskussion um die COVID-19-Impfung von Kindern- und Jugendlichen zwischen 5 und 11 Jahren – gerade bei Twitter – viel zu unsachlich, zu sehr von Vorurteilen und vorgefestigten Meinungen geprägt und in die eine und die andere Richtung zu alarmistisch. Ich habe mir daher überlegt, hier aufzuschreiben, weshalb wir zu der Entscheidung gekommen…
-

Ein paar Ergänzungen zu dem Thread bei Twitter von Elvira Rosert (den ich leider nur als Screenshot lesen kann, was sehr nervig ist, wie dieses ganze Geblocke generell): und dem von Franziska Briest, welcher meines Erachtens diverse wichtige Punkte aufgreift: Vorab: Man verzeihe mir den Wechsel auf das Blog-Format, aber ich finde lange Twitter-Threads durchaus…
-

Die DGN hat im März die Leitlinie Behandlung von spontanen intrazerebralen Blutungen aktualisiert. Wenig später postete Philipp Grätzel von Grätz bei Twitter diesen Tweet: Und bei uns wurden – für unsere Verhältnisse – in den letzten gut zwei Wochen sehr viele Patienten mit Blutungsereignissen – überwiegend unter oraler Antikoagulation – aufgenommen. Und bei Twitter ging…
-

Ich lese (vor allem bei Twitter) immer wieder als Begründung für den Wunsch nach Beibehaltung der Corona-Maßnahmen (die ja eigentlich nicht-pharmazeutische Interventionen (NPI) heißen), dass man Angst oder Sorge vor Long Covid auch als geimpfter Mensch habe. Und ich frage mich dann (auch immer wieder), ob das eigentlich eine rationale Angst oder Sorge ist. Disclaimer:…
-

Bei professionellen Fußballspielern erhöht sich das Risiko an einer Demenz zu erkranken auf das bis zu 5-fache. Das ist das Ergebnis einer Untersuchung von Wissenschaftlerinnen und Wissenschaftlern aus Glasgow. „Die Daten weisen auf eine Assoziation zwischen der Dauer der Fußballkarriere und dem Risiko einer neurodegenerativen Erkrankung hin“ schreiben sie. Die Ergebnisse sind in der Fachzeitschrift…
-

von Christian Schöps, ECMO_Doc, Eike Gröne und Kardioklick Vorweg Es gab bei Twitter – mal wieder – etwas Streit. Es ging – mal wieder – um das Thema COVID-Impfung und das Myokarditis-Risiko durch die Impfung und durch die Infektion und darum, welche Konstellation risikoreicher ist: Klar, der Twitter-User narkosedoc polarisiert, klar, die echten Impfgegner wird…
-

Manchmal geschehen komische Dinge und man findet im BILD-Live Ticker plötzlich interessante Literatur. Zum Beispiel diese hier The effectiveness of vaccination against long COVID. A rapid evidence briefing (Link pdf, Link Begleittext) der UK Health Security Agency (UKHSA), was die Public Health-Institution des Vereinigten Königreichs ist. Es handelt sich um eine Zusammenstellung von 15 Studien…
-

Wir haben heute einen Blogbeitrag bei publikum.net veröffentlicht, den ihr hier findet: Link. Für alle, die den brainpainblog per Mail oder WordPress Reader lesen kommt hier eine identische Version: Mehr Sorgfalt bei der Kommunion von Pandemierisiken von Franziska Briest, Hasan Alkas, Oliver Beige, Ralph Brinks, Christine Busch, Daniel Haake, Esther März, Christian Schöps, Thomas Wieland…
-

Die Verkürzung des Genesenenstatus von sechs auf drei Monate, bzw. eigentlich auf den Zeitraum 28. bis 90. Tag nach positivem PCR-Befund schlägt in den klassischen und den sozialen Medien große Wellen. Vielen erscheint sie unverständlich und ungerecht, vielen auch willkürlich. Die offizielle Argumentationslinie ist, die Kommunikation sei „unglücklich“ gelaufen, aber inhaltlich entspreche es dem Stand…
-

Mein Versuch einer Standortbestimmung Was zuvor geschah: Mit dem Blogger und Journalisten Ostprog, der unter diesem Namen sowohl einen Twitter-Account (Link) als auch einen Blog betreibt (Link) bin ich schon öfters bei Twitter aneinander gerasselt. Heute hat sich – das erste Mal zwischen uns ohne Eskalation – eine ganz interessante Diskussion in mehreren Threads entspannt…
-

Thematisch perfekt zum aktuellen Thema der Verkürzung des Genesenenstatus nach durchgemachter SARS-CoV-2-Infektion ist gestern folgendes Paper veröffentlicht wurden: Mensah AA, Lacy J, Stowe J, et al. Evaluation of disease severity during SARS-COV-2 reinfection, January 2020 to April 2021, England: an observational study. Journal of Infection. Published online January 2022:S016344532200010X. doi:10.1016/j.jinf.2022.01.012 Zeitliche Einordnung Die – retrospektive…
-

In den letzten knapp 20 Jahren hat sich das medizinisch-wissenschaftliche Wissen bei der Multiplen Sklerose (MS) in zwei miteinander zusammenhängenden Themenblöcken in wahnsinniger Geschwindigkeit fortentwickelt: Bei den immunologischen Grundlagen der Entzündungsprozesse auf Zell- und Körperebene und bei den immunmodulatorischen und immunsuppressiven Therapien, welche seit der Zulassung von Natalizumab (2004 erstmals in den USA) (Link Wikipedia)…
-

Marc Hanefeld, Allgemeinmediziner aus Bremervörde, der bei Twitter unter dem Namen @Flying__Doc auftritt, hat heute folgenden Thread zum Thema No Covid verfasst: Habe Bekannte im Gastronomie-Sektor. #2GPlus bedeutet für die, dass Einnahmeverluste drohen, ohne Kompensation. #NoCovid damals (von Vielen unverstanden!) beinhaltete auch zeitlich begrenzten Lockdown: Recht auf finanzielle Kompensation, frühere Normalisierung. Es wird deutlich, dass…
-

Kurze Paper-Vorstellung, nachdem ich auf dieses COVID-Paper angesprochen wurde: Ich stelle das Paper kurz vor und dann noch ein späteres der selben Autorengruppe, welches die Ergebnisse der ersten Arbeit noch etwas besser einordnet. Das Paper aus dem Tweet Um dieses Paper aus dem April 2021 geht es in dem Tweet: Merzon, E., Weiss, M. D.,…
-

Heute soll es um ein Thema gehen, was mir schon länger im Kopf rumschwirrt, um Überversorgung in der Medizin. Das hat jetzt nur so halb mit Neurologie und auch nur so halb mit COVID-19 zu tun, aber es gibt mehrere Gründe, warum ich mich damit ein wenig beschäftigen möchte. Der Beitrag schließt sich thematisch an…
-

Vorweg: Twitter mal wieder An folgendem Tweet bin ich bei Twitter hängen geblieben: Vor allem die Formulierung „brain spongiosis“ machte mich hellhörig, weil das etwas ist, was ich mit Prionen-Erkrankung, wie Creutzfeldt-Jakob (Link Wikipedia) oder BSE (Link Wikipedia) verbinde. In deutschsprachigen Accounts wurde das ganze dann auch wie folgt kommentiert: oder Ganz kurzer Exkurs: Bei…
-

Vielleicht ist es auch nur Psychohygiene, weil ich eigentlich diese Faktenchecker, Faktenfüchse, Volksverpetzer usw. ganz furchtbar finde, weil da meistens mehr Agenda als Faktencheck hintersteckt. Aber wenn wer Freude dran hat: 22.03.2021 Blog-Beitrag zu dem Thema (Link), bis zu „Oft zitiert und oft kritisiert: Die Studie mit dem Internetfragebogen“ scrollen. 08.05.2021 Blog-Beitrag zu dem Thema,…
-

Einleitung Okay, doch noch ein COVID-Thema, aber nur so ein halbes. Ich halte es mal größtenteils COVID-frei, auch wenn die Tatsache, dass ich was dazu schreibe natürlich durch die Diskussion um Impfnebenwirkungen nach COVID-Schutzimpfungen getriggert ist. Ich werde mich mal auf das Thema neurologische Erkrankungen als Nebenwirkungen nach Impfungen konzentrieren, da ich davon am meisten…
-

Vorweg Schon länger schwebt mir eine kleine Reihe über das Thema Medizin am Lebensende vor und ich hatte schon mal im Sommer angefangen, was zum Thema Überversorgung zu schreiben, dann aber wieder abgebrochen. Durch den Tweet von doc_ecmo bin ich jetzt aber wieder angefixt. Ich hab mir überlegt, dass ich mit dem Thema end-of-life care…
-

Warum schon wieder ein Corona-Beitrag? Ja, ich hatte erst gerade geschrieben, dass so langsam Schluss mit den Corona-Beiträgen sein soll (Link) und jetzt kommt doch noch einer. Karl Lauterbach hat mal wieder getwittert und zwar das hier: https://twitter.com/Karl_Lauterbach/status/1451293481486491654 Ein typischer Lauterbach, denn „Obwohl die Studie dies nicht zeigt legt das Ergebnis ein erhöhtes späteres Demenzrisiko…
-

Vorweg So langsam möchte ich im Blog wieder von den Corona-Beiträgen wegkommen und perspektivisch zu den eigentlichen brainpainblog-Themen zurückkehren. Den Themenkomplex Masern und die Komplikationen einer Masern-Infektion finde ich allerdings in sofern interessant, da bei der ganzen Corona-Diskussion immer wieder neben Polio der Vergleich zur SSPE als Masern-Spätkomplikation gezogen wird. Nur was ist das eigentlich?…
-

In Teil 1 der Reihe ging es um die Grundlagen zum Thema Neurotropie von SARS-CoV-2 und um die Frage, wie das Virus überhaupt ins ZNS kommen und wie man es dort nachweisen kann. In Teil 2 bin ich dem Thema nachgegangen, ob und wie SARS-CoV-2 vielleicht Trigger von Neurodegeneration sein kann. Ich hatte mich in…
-

Mechanismen der Neurotropie von SARS-CoV-2 Wie neurotrop ist SARS-CoV-2 eigentlich? In der Vergangenheit hatte ich Diskussionen mitbekommen (und mich auch in welche verstrickt), on SARS-CoV-2 nun total, nicht sonderlich oder nur ein bisschen neurotrop sei. Aber eigentlich ist das eine total behämmerte Frage. Wir kennen Viren, die hauptsächlich das Nervensystem infizieren und dort persistieren, wie…
-

Führt eine Infektion mit SARS-CoV-2 zu bleibenden kognitiven Störungen und erhöht sie eine spätere Entwicklung einer neurodegenerativen Erkrankung? Dieses Thema zieht sich seit dem Spätsommer 2020 durch die wissenschaftliche Diskussion, auch und insbesondere bei der Frage, ob man eigentlich mild verlaufende COVID-Infektionen wie bei Kindern und Jugendlichen nicht einfach zulassen sollte oder ob man das…
-

Heute soll es relativ kurz und außer der Reihe um das Thema Führt eine COVID-19-Erkrankung zu einer höheren Wahrscheinlichkeit einer späteren neurodegenerativen Erkrankung? gehen. Anlass war diese Replik hier: Das darin verlinkte Paper von Idrees und Kumar kannte ich bislang noch nicht, wohl aber ein ähnlich thematisch positioniertes von Pacheco-Herrero et al. (okay, zugegebenermaßen weil…
-

Polio hatte ich eigentlich gar nicht mehr auf der Kappe, aber im Rahmen des Corona-Themas kocht es gerade an verschiedenen Stellen hoch, meist um die Notwendigkeit und Dringlichkeit einer Impfung zu untermalen: Doch der Vergleich hinkt und hier kommt jetzt, warum das so ist. Außerdem trifft man – zunehmend seltener – auf Patienten mit einem…
-

Das ist nun das Wespennest-Thema, noch viel mehr als Long Covid bei Erwachsenen, zumindest auf Twitter und Co (#lLongCovidKids). Noch aufgeladener mit Emotionen, noch mehr instrumentalisiert, um die eigene (vorgefasste) Meinung zu bestätigen. Wie gehen wir es also an? So zumindest nicht: Ich denke, wir machen es so wie beim Thema Long Covid bei Erwachsenen,…
-

Eine dezidierte Meinung zum Long Covid-Syndrom zu äußern, ist sicherlich mit vielen Fettnäpfchen behaftet, in die man treten kann. Am Ende ist es ein stark emotionsgeladenes Thema, über das man immer noch recht wenig weiß, auch wenn der Blogbeitrag dazu – bzw. eigentlich es sind ja mehrere Beiträge – sehr lang geworden ist. Kurzzusammenfassung Ich…
-

Grundsätzliche Überlegungen In den zahlreichen Veröffentlichungen zum Thema Long Covid werden verschiedene Vermutungen angestellt, warum sich das Phänomen überhaupt entwickelt. Da es sich bei den meisten Symptomen um neuropsychologische Defizite im weitesten Sinne handelt („Neuro-COVID“), gehen die meisten ätiologischen Überlegung in Richtung ZNS-Beteiligung an der COVID-Infektion. In der Regel wird entweder eine ZNS-Pathogenität des Virus…
-

Einleitung Ich hatte ja schon im April einen Beitrag zum Thema Long Covid geschrieben. In den drei Monaten seither hat sich relativ viel getan, an der Publikationsfront und der wissenschaftlichen Diskussion, aber in erster Linie auch in der öffentlichen Wahrnehmung und Kommuniktion des Begriffes Long Covid. Long Covid wird dabei immer mehr zum Schlagwort und…
-

Das Problem einer Definition von Long Covid Welche Publikationen gibt es? Bei pubmed finden sich Stand heute (23.07.2021) 413 Einträge zum Thema Long Covid (Link) und 7.436 Einträge zum Suchbegriff Post Covid (Link), zuzüglich der unzähligen Preprints, welche häufig durch die Medien geistern. Viele der pubmed-Einträge sind sogenannte letter to the editors, also wissenschaftliche Leserbriefe,…
-

Nach langer Zeit geht es mit der Parkinson-Mini-Serie weiter. Dazu verwurste ich mal einen Artikel, den ich schon vor einiger Zeit mal als Paper konzipiert hatte, den aber bis auf so eine extrem abgespeckte Version im Hamburger Ärzteblatt (Link) niemand je so richtig haben wollte. Epidemiologie von Schmerzen bei Parkinson Schmerzen beim idiopathischen Parkinson-Syndrom werden…
-

Eigentlich wollte ich heute den lange verschobenen Beitrag zum Thema Schmerzen und Parkinson veröffentlichen, aber dann haben meine Lieblings-Twitterer Karl Lauterbach und Cornelius Römer folgendes Preprint gepostet: Mlcochova, P., Kemp, S. A., Shanker Dhar, M., Papa, G., Meng, B., Mishra, S., Whittaker, C., Mellan, T., Ferreira, I., Datir, R., Collier, D., Singh, S., Pandey, R.,…
-

Vorneweg: Ich mach ja gerne so Mini-Serien, bzw. Kategorien auf, unter denen man verschiedene Themen versammeln kann. Und ich dachte mir, man könnte doch gut was zu den grauen Mäusen der Neurologie machen, häufigen, aber irgendwie blassen Themen, die irgendwie immer übergangen werden. Da kann man dann was zu zerebraler Mikroangiopathie, Spannungskopfschmerzen und eben auch…
-

Wenn ich jetzt mal wieder die Frühreha mache, ist es nach den ganzen Corona-Beiträgen höchste Zeit für das Thema critical illness-Polyneuropathie und -Myopathie, welche man meistens mit CIP/CIM abkürzt und welche ja die Standarddiagnose in der neurologisch-neurochirurgischen Frührehabilitation ist. Außerdem ist es für das Thema Long Covid wichtig, da die CIP/CIM die Diagnose ist, an…
-

Die Veröffentlichung des aktuellsten Thesenpapiers der Autorengruppe u.a. um Matthias Schrappe, Wissenschaftler der Universität Bremen und Klaus Püschel (ex Institut für Rechtsmedizin des UKE) (Link) führt bei Twitter zu hohen Wellen und zum Trending des Hashtags „DIVIGate“ (Link), allerdings sind 99,9% der Beiträge einfach nur dumm und hanebüchen. Diskutiert wird (mal wieder) nicht. Auch wenn…
-

Was bisher geschah Kurz zusammengefasst, für die, die den ersten (Link) und zweiten Teil (Link) nicht gelesen haben: Im ersten Teil ging es um das grundsätzliche Phänomen HIT Typ 2-artiger Thrombozytenabfälle in Verbindung mit thrombotischen venösen Komplikationen, in erster Linie Sinus- und Hirnvenentrhombosen. Es wurden beide Krankheitsbilder (HIT und Sinusthrombose) kurz vorgestellt. Im zweiten Teil…
-

Was bisher geschah Kurz zusammengefasst, für die, die den ersten Teil (Link) nicht gelesen haben: Eine Arbeitsgruppe um Transfusionsmediziner aus der Uniklinik in Greifswald hat sehr schnell nach den ersten Berichten zu Sinus- und Hirnvenenthrombosen (SVT) nach Impfung mit dem AstraZeneca-Impfstoff ein Preprint (Link, Link pdf) und 09.04.2021 das peer reviewd-Paper hierzu im New England…
-

Worum geht es überhaupt? Nach COVID19-Impfung mit dem AstraZeneca-Impfstoff (und offenbar auch bei dem Johnson & Johnson-Impfstoff) kommt es selten und vor allem bei jüngeren und weiblichen Geimpften 3 bis 16 Tage nach der Impfung zu schweren Thrombosekomplikationen, meist in Verbindung mit einem massiven Abfall der Thrombozyten (also der Blutplättchen, Link Wikipedia). In den meisten…
-
COVID-Impfungen bei Kindern und Jugendlichen Impfnebenwirkungen in der Neurologie Genesen von COVID-19 Mini-Serie: Zerebrale Sinus- und Hirnvenenthrombosen nach AstraZeneca-Impfung Durch die Freigabe des AstraZeneca-Impfstoffes für alle Impfwilligen am 06.05.2021 bleibt das Thema zerebrale Sinus- und Hirnvenenthrombosen nach Impfung doch weiter aktuell. Durch Aussagen wie diese wird die Frage, ob sich auch unter 60-Jährige mit dem…
-

Vorneweg Ja, ich weiß, eigentlich sollte es um critical illness Polyneuropathie gehen, aber ich bin schon wieder innerlich getrieben, was zu COVID zu schreiben. Beim nächsten Mal geht’s dann aber wirklich (ehrlich wahr) um die critical illness Polyneuropathie. Worum geht es in diesem Beitrag eigentlich nicht? Unter anderem hierum, obwohl es (zumindest für mich) ein…
-

Vorneweg Ja, noch ein COVID-Thema. Aber das muss auch sein, alleine aus Balint-Gruppen-Gründen, weil mich da auch die mediale Kommunikation dazu so wahnsinnig aufregt. Allerdings besteht die große Gefahr, dass ich mich hiermit dann endgültig in die Nesseln setze und mein eigener confirmation bias zuschlägt. Das wird wieder mal ein etwas längerer Beitrag mit so…
-

Vorab (Vorwort zur Version vom 05. April): Ja, ich wollte auf keinen Fall, niemals und überhaupt gar nicht hier was zu COVID19 schreiben, aber das regt mich alles so auf, dass ich jetzt doch nicht anders kann. Und bevor ich weiter auf Twitter Leute anpöbel, schreib ich mal ein wenig was auf. Und die Sinus-…
-

Ich habe letztens die erste Folge von Das Hausboot geschaut und irgendwie kam mir da schon der Gedanke, dass ich mal was zu Eisen- und Kalkablagerungen im Gehirn schreiben könnte. Weiß nicht, ob das jetzt mehr wegen Gunter Gabriel oder dem Hausboot an und für sich war. Und dann hatten wir prompt einen Patienten mit…
-

Irgendwie ballt sich das Thema trigemino-autonome Kopfschmerzen bei uns in der letzten Zeit. Also höchste Zeit, sich dieser Kopfschmerzentität einmal anzunehmen. Die internationale Kopfschmerzklassifikation listet vier Kopfschmerzerkrankungen auf, die zu den trigemino-autonomen Kopfschmerzen gehören: Cluster-Kopfschmerzen, paroxysmale Hemikranie, SUNCT und die Hemicrania continua, die erst in den letzten Jahren ihren Weg in die Kategorie der trigemino-autonomen…
-

Windows 95 und neurodegenerative Erkrankungen Den WYSIWYG-Vergleich wollte ich schon ganz lange machen. Heute soll es um neurodegenerative Erkrankungen gehen und um die Frage, ob es auch wirklich Parkinson ist, wenn es wie Parkinson ausschaut. WYSIWYG ist ja so ein Begriff der ungefähr aus der Ära von Karl Klammer und Windows 95 kommt. Ganz kurz…
-

So, nach langer Zeit mal wieder was neues. Das wird jetzt ein längerer Beitrag, aber einer über den ich schon länger nachdenke und den ich unbedingt schreiben wollte. Und auch einer, bei dem ich mehr Literaturstellen brauche und die ich deswegen anders als sonst direkt in den Text einbauen werde. Es soll also um die…
-

Meine spät entdeckte Liebe für die Huntington-Erkrankung Das mit der Huntington-Erkrankung und mir war eine schwere Geburt. Selbst im Neuro eBook kann man eine gewisse Frustration über CAG-Repeats und die Namensgebung Huntingtin nur schwerlich überlesen und ganz lange habe ich die Huntington-Erkrankung für ein elendiges Thema für Staatsexamen-Prüfungsfragen gehalten. Erst in den letzten Jahren konnte…
-

Spezifische und nicht-spezifische Rückenschmerzen Hier ging es ja schon einmal um chronische Rückenschmerzen, jetzt – so ohne Schmerz-Prüfung vor Augen – müssen wir uns aber dringend noch mal den akuten Rückenschmerzen zuwenden. Der akute Rückenschmerz ist noch mal deutlich häufiger als der chronische und betrifft – zumindest was den unteren Rücken betrifft – mit einer…
-

Das Fettnäpfchen-Thema kommt zum Schluss. Mit Cannabis in der Schmerztherapie ist es ungefähr so, wie mit der Frage ob und wie man die Schulen bei Corona öffnen sollte, nahezu jeder hat eine vorgefasste Meinung dazu und man versucht diesen Standpunkt durch eine Menge kleiner, schlecht gemachter, nicht verblindeter oder nicht ausreichend gepowerter Studien zu belegen.…
-

Heute geht es also um Migräneprophylaxe. Dazu muss man gleich vorweg eine unangenehme Wahrheit schicken. Eine richtige Migräneprophylaxe besteht immer aus drei Dingen: Regelmäßigem Ausdauersport > 30 min (2-3x/Woche), der regelmäßigen (tägliche) Anwendung von Muskelentspannungsverfahren und einer medikamentösen Migräneprophylaxe. Mit diesen drei Komponenten zusammen kann man die Zahl der monatlichen Migränetage um bis zu 70%…
-

So Zielgerade: Opiate, Cannabis und eine Extra-Runde-Migräneprophylaxe werden es noch vor der Schmerz-Prüfung. Heute geht es also um alles, was man aus Schlafmohn und seinen Derivaten so machen kann, um Opiate und Opioide. Opiate & Opioide und Opioid-Rezeptoren: Was ist was? Kleine Begriffsklärung zu Beginn. Als Opiat bezeichnet man alles, was aus dem Schlafmohnsaft (Opium)…
-

Beim Thema CRPS befürchte ich, wird das Konzept kompliziertes, was eigentlich ganz einfach ist erstmals richtig scheitern, denn es ist unglaublich schwer, das Thema soweit zu vereinfachen, dass man das große Ganze dahinter erkennen kann, vermutlich in diesem Fall, weil niemand das große Ganze wirklich kennt. Beim CRPS hat sich in den letzen 2-5 Jahren…
-

Ich glaube, es war mein erster oder zweiter Tag in der Schmerztherapie, als eine Patientin von „meiner Fibro“ sprach und ich sofort dachte, „oh Gott ich bin hier falsch“. Das hat dann nicht mal zwei Wochen gedauert, bis ich zu einer anderen Patientin gesagt habe „Ihre Fibro“. Also, man gewöhnt sich dran. Aber was ist…
-

Myofasziale Schmerzen & Triggerpunkte: Es hätte so schön sein können Heute geht es um ein Kernthema der Schmerztherapie: Die myofaszialen Schmerzen. Hier hat sich seit den 1970er Jahren eine ganze eigene Welt um die Beobachtung herum entwickelt, dass es bei vielen Menschen mit chronischen Schmerzen zu ausgesprochen druckdolenten, verhärteten und verkürzten Muskeln kommt, die im…
-

Wenden wir uns dem Brot- und Butter-Geschäft der Schmerztherapie zu, was für den Krankenhaus-Neurologen der Schlaganfall ist, ist in der Schmerztherapie der chronische Rückenschmerz. Alles ein alter Hut? Die Bedeutung chronischer Rückenschmerzen durch die pure Masse der Betroffenen ist glaube ich allen bewusst, dennoch sind die – vielleicht auch mittlerweile zu oft zitierten – Kennzahlen…
-

Update Ich habe den Beitrag noch mal ein wenig gepimpt und um noch einige Aspekte ergänzt, u.a. um die absteigende Schmerzhemmung, aber auch um den Begriff des noziplastischen Schmerzes.Heute soll es also um ein klassisches Grundlagenthema gehen, nämlich die Frage wie das mit der Chronifizierung von Schmerzen eigentlich funktioniert. Das ganze kann man in drei…
-

Da die Schmerz-Prüfung naht, muss und darf ich mich in der nächsten Zeit mal wieder ein wenig mit dem Thema Schmerzmedizin befassen, so dass ich mal eine neue Kategorie mit dem Big Lebowski-Zitat-Titel geschaffen habe, in der es um verschiedene – hoffentlich interessante – Aspekte von Schmerzmedizin gehen soll (und um Dinge, die ich mir…
-

Mehr Schüttel als Lähmung: Tremordominantes Parkinson–Syndrom Aus aktuellem Anlass (brainpainblog hat ein kleines Tip-Problem), wie man ja so schön sagt, versuche ich mich mal mit einem Blog-Beitrag, den ich über Siri diktiere und dann hoffentlich nicht bis unendlich korrigieren muss. Also schauen wir mal, wie das so wird. „Häufiges ist häufig“ bringt einem manchmal nichts Das…
-
… aber bald geht es weiter mit dem tremordominanten Parkinson-Syndrom und der postzosterischen Neuralgie und Neuropathie.
-

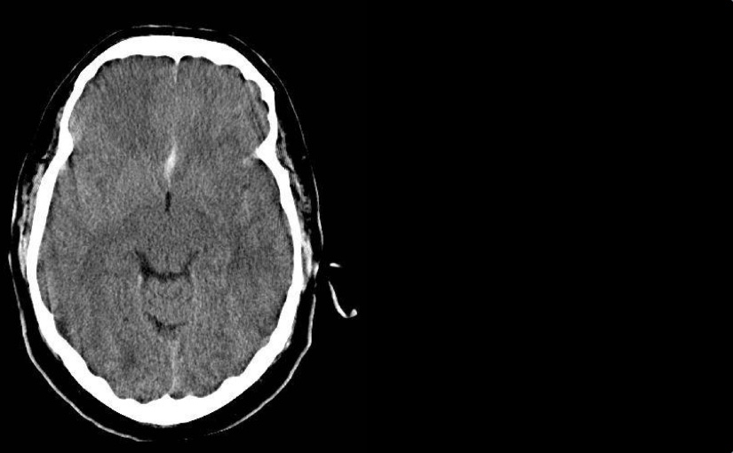
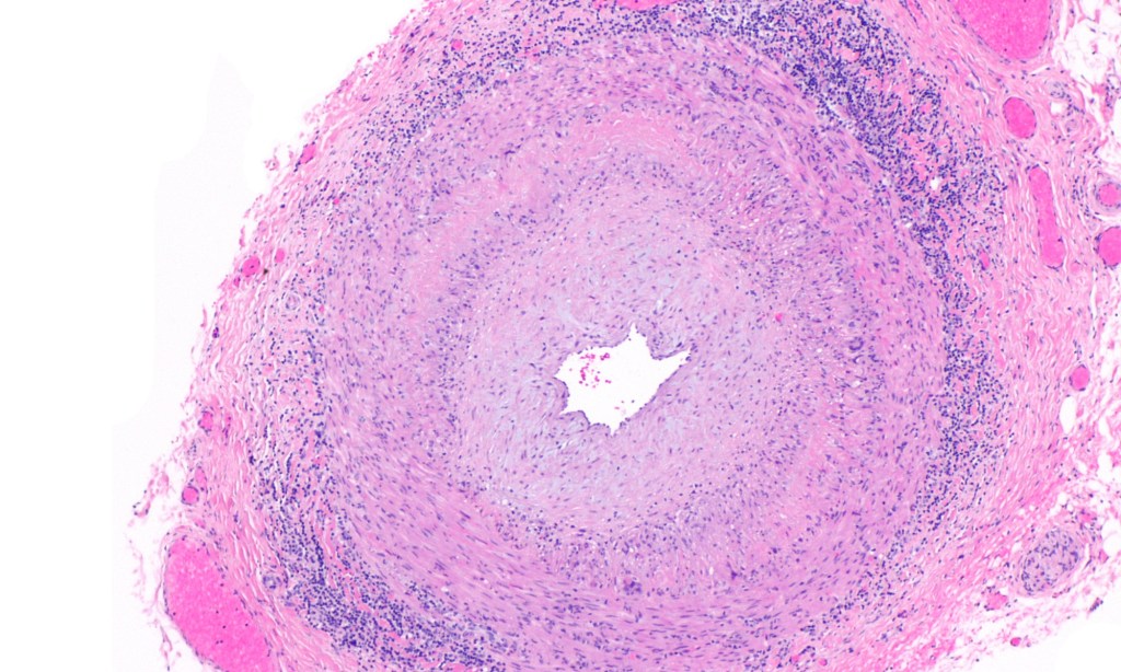
Ja, wirklich: Riesenzellarteriitis Heute geht es tatsächlich um die Riesenzellarteriitis, welche übrigens die häufigste Vaskulitis in den Industrieländern ist. Frauen sind doppelt so häufig wie Männer von einer Riesenzellarteriitis betroffen, die Prävalenz liegt bei 15-44/100.00, das typische Erstmanifestationsalter bei über 50 Jahren mit einer deutlichen Erkrankungshäufigkeitszunahme im höheren Lebensalter, insbesondere nach dem 80. Lebensjahr. Die…
-

Kommt ein Patient in die ZNA Stellen wir uns folgendes alltägliches Beispiel vor: Wir sehen in der ZNA einen Patienten, der vorübergehend eine Sehstörung und noch etwas anderes hatte, eine Parese oder eine Aphasie vielleicht. Vielleicht hatte er danach auch Kopfschmerzen, vielleicht aber auch nicht. Reflexartig wird die wahrscheinlichste Arbeitshypothese in den allermeisten Neurologien transitorisch…
-

Eigentlich das erste Thema der Serie. Aber irgendwie auch nicht. Nach der Erstbeschreibung der shaking palsy durch James Parkinson 1817, welcher durchaus auch nicht-motorische Symptome der Parkinson-Erkrankung beschrieb, standen spätestens nach der Verfügbarkeit von L-Dopa v.a. die motorischen Symptome und ihre Behandlung im Vordergrund. 95 Jahre später, 1912, wurden durch Friedrich Jacob Heinrich Lewy die…
-

Vorweg Zeit für eine neue Miniserie zum Thema Kopfschmerzen im Alter. Die eine oder der andere wird wissen, dass das Thema einem Vortrag entliehen ist, den ich vor nicht allzu langer Zeit gehalten habe. Aber das gibt mir die Möglichkeit, mich daran entlang zu hangeln und das eine oder andere hinzuzufügen, aber auch Dinge wegzulassen.…
-

Die graue Theorie vorweg Beim Lagerungsschwindel handelt es sich um die häufigste Schwindelform mit einer Lebenszeitprävalenz von 3-5%. Der Lagerungsschwindel tritt gehäuft bei älteren Menschen auf, kann aber schlussendlich jede Altersgruppe betreffen. Die meisten Lagerungsschwindelmanifestationen sind idiopathischer Genese, nur ca. 5% treten als symptomatischer Lagerungsschwindel z.B. nach Schädel-Hirn-Trauma oder nach längerer Immobilisation auf. In dem…
-

Gelegenheitsanfall? Provozierter epileptischer Anfall oder wie heißt das jetzt? Provozierte epileptische Anfälle haben über die Jahre hinweg viele Namen bekommen, Gelegenheitsanfälle, Okkassionsanfälle oder halt akut-symptomatische epileptische Anfälle. Und das ist auch die offizielle Bezeichnung. Provozierte epileptische Anfälle sind häufig, wobei vermutlich weniger häufig als man gemeinhin vermuten wird, doch dazu gleich mehr. Die Unterscheidung in…
-

Medikamentöse Behandlung von älteren Patienten mit idiopathischen Parkinson-Syndromen: L-Dopa Folgt man noch einmal dem Therapieschema aus Teil 1, dann besteht die Behandlung älterer Patienten mit (idiopathischen) Parkinson-Syndromen vor allem aus einer Monotherapie mit L-Dopa. Für den klassischen Krankenhausneurologen wird dies der Regelfall sein, da Ersteinstellungen (und auch Therapieanpassungen) bei unter 70-jährigen in der Regel eine…
-

Im Bestreben hier jetzt schnell Content zu liefern hatte ich mir vorgenommen, in den nächsten Tagen eine kleine Serie zum Thema Parkinson zu machen und da mit dem für die meisten von uns essentiellsten, der medikamentösen Behandlung von (idiopathischen) Parkinson-Syndromen anzufangen. Aber ich muss feststellen, wenn man was an einem Abend zusammenzimmert muss das nicht…
-

Medikamentöse Behandlung von jüngeren Patienten mit idiopathischen Parkinson-Syndromen: Dopaminagonisten Für die Behandlung idiopathischer Parkinson-Syndrome existiert ein eigentlich sehr schönes, wenn auch etwas in die Jahre gekommenes Schema aus den alten Leitlinien-Versionen, welches eine relativ einfache Unterteilung nach Krankheitsform und Alter des Patienten macht. Unterschieden werden dabei hypokinetisch-rigides und Parkinson-Syndrom vom Äquivalenztyp vom tremor-dominanten Parkinson-Syndrom und…
-

Was ist das eigentlich und woher kommt das? Das Phänomen Delir ist seit Hippocrates, also seit über 2500 Jahren, bekannt. Gemeint ist dabei eine sich über wenige Stunden bis einige Tage entwickelnde Bewusstseins-, Aufmerksamkeits- und Gedächtnisstörung, welche typischerweise bei einer schweren Erkrankung, nach einem operativen Eingriff oder bei älteren und dementen Patienten nach einem Umgebungswechsel…
-

Während meines Studiums habe ich einen Freund von mir sehr um sein sauber und liebevoll geführtes und unglaublich hilfreiches Notizbuch mit den Mitschriften seines Wahlfaches (Pädiatrie) beneidet und mich das erste und letzte Mal in meinem Studium in meinem Wahlfach Neurologie ebenfalls zu einer Unterrichtsmitschrift durchringen können. Leider führt meine Handschrift unweigerlich zu einem sehr…
